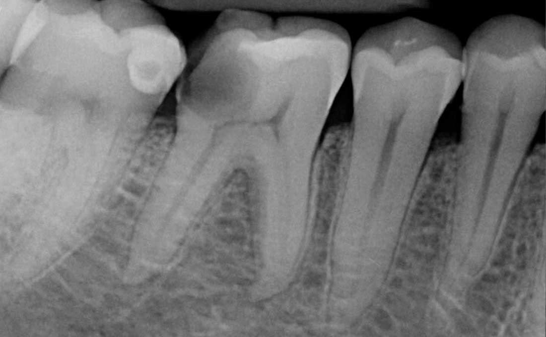
Cos’è l’endodonzia?
L’Endodonzia è quella branca dell’Odontoiatria che ha per oggetto i tessuti interni del dente, le patologie e i trattamenti correlati.
Il dente infatti è un organo vitale con una ricca innervazione e vascolarizzazione, che in caso di infezione necessita di essere curato.
Si parla di trattamento endodontico o di devitalizzazione quando si interviene eliminando la polpa dentaria infiammata e infetta andandola a sostituire dopo un’adeguata disinfezione con materiali da otturazione.


Quali sono i benefici dell’endodonzia?
L’endodonzia permette di salvare denti con carie profonde che altrimenti sarebbero condannati all’estrazione.
Intervenendo endodonticamente si eliminano infatti i focolai infettivi e si impedisce alla carie di danneggiare ulteriormente il dente, riportandolo alla sua funzione originale e eliminando il dolore.
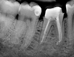
L’intervento: procedure e tempistiche
L’odontoiatria moderna permette di svolgere un trattamento endodontico in un’unica seduta.
Questa prevede dopo una piccola anestesia locale l’eliminazione di tutto il tessuto dentario affetto dalla carie, l’apertura della camera pulpare e l’eliminazione della polpa dentaria.
Successivamente si procede con la detersione dei canali radicolari e alla loro pulizia tramite strumenti meccanici, in modo da preparare il dente all’otturazione radicolare e alla ricostruzione definitiva.


Tecnologie
L’endodonzia è una branca odontoiatrica in continua evoluzione: la precisione è la chiave del successo terapeutico e quindi sempre più la tecnologia è un ausilio per i trattamenti.
Nei nostri centri utilizziamo rilevatori apicali per individuare la dimensione precisa delle radici dei denti e sistemi rotanti meccanici per la preparazione dei canali radicolari.
Prenota una visita
Compila questo modulo e sarai ricontattato prima possibile.
La visita include anche un’ortopanoramica digitale.

